• 患者服务: 与癌共舞小助手
  • 微信号: yagw_help22

QQ登录

只需一步,快速开始

开启左侧

奥西耐药后,一代联合三代5个月局部进展,下一步只能换化疗了嘛

[复制链接]
19760 11 平安喜乐要健康 发表于 2025-11-29 21:34:11 |

马上注册,结交更多好友,享用更多功能,让你轻松玩转社区。

您需要 登录 才可以下载或查看,没有账号?立即注册

x
本帖最后由 平安喜乐要健康 于 2025-11-29 21:36 编辑

2023-4-21肺穿刺:腺癌,PD-L1(22C3):CPS约5%。NGS:EGFR L858R,EGFR扩增,TP53,CDKN2A, CDKN2B, MTAP突变。分期:右上肺腺癌cT3N3M1c IVB期。

2023.5-2025.6一线单药奥西25个月。

2025.7月血液基因检测除了原本的l858r还有单独的c797s(无t790M)。

2025.7-2025.11月吉非替尼联合奥西5个月。

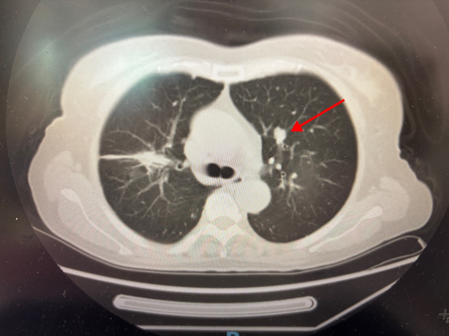
2025.11.22复查,头部稳定,原发肺部1.9*1.3→1.9*1.2cm稳定,但肺多发转移瘤增大0.7*0.6cm→1.1*0.9cm。

判断局部进展,接下来治疗方案有什么建议?
1.局部进展,能考虑放疗双肺多发转移瘤维持原靶向吗?
2.换化疗的话,用哪个化疗药,周期几次?化疗期间要不要继续吃吉非或者奥西?
3.再维持靶向观察一个月,全面进展了,再穿刺取组织做基因检测 参考意义大吗?


                               
登录/注册后可看大图


                               
登录/注册后可看大图


                               
登录/注册后可看大图


                               
登录/注册后可看大图


                               
登录/注册后可看大图

11条精彩回复,最后回复于 2025-12-2 22:41

累计签到:76 天
连续签到:1 天
[LV.6]超级爱粉
火爆鸳鸯C28  禁止发言 发表于 2025-11-30 13:37:19 | 显示全部楼层 来自: 中国
提示: 作者被禁止或删除 内容自动屏蔽
签名被屏蔽

举报 使用道具

回复 支持 反对
阳光~  博士导师 发表于 2025-11-30 14:17:16 来自手机 | 显示全部楼层 来自: 中国
看标题的第一反应就是局部进展局部处理,但是后面看完报告描述,肺部那些小寡病灶,不止一个局部进展,很可能多个小结节都在进展,所以局部放疗或者消融,弄不干净,考虑治疗这么久,没有进行过化疗,可以考虑贝伐➕培美曲赛➕铂进行两周期化疗,现在脑部稳定状态,可以休息靶向,看看化疗效果怎么样,不太建议继续等着耐药穿刺了,或者还有一个方案,是一三代联合基础上,加个贝伐或者加个培美曲赛单药试试看。

举报 使用道具

回复 支持 反对
平安喜乐要健康  初中一年级 发表于 2025-11-30 19:59:32 来自手机 | 显示全部楼层 来自: 广东深圳
火爆鸳鸯C28 发表于 2025-11-30 13:37
目前处于 “寡进展”或“局部进展” 状态。即:在吉非替尼+奥希替尼联合治疗下,大部分病灶(头部、原发灶)稳定,仅有个别肺部转移灶增大。所以,放疗双肺多发转移瘤维持原靶向这个是正确的。
标准的后线化疗方案是 含铂双药化疗,具体为:培美曲塞 + 卡铂/顺铂,一般不联合吃靶向药了。
“等待全面进展后再穿刺”的策略风险有点高吧,近期就检呗。对增大的肺转移灶这部分。
祝治疗顺利!

好的好的,谢谢老师回复~我们尽快去医院评估,上治疗。原本还抱一丝想法,穿刺做次基因检测的,看看有没有其他靶向药吃的 病人有点抗拒化疗,我也害怕副反应大受不住

                               
登录/注册后可看大图

                               
登录/注册后可看大图

举报 使用道具

回复 支持 反对
平安喜乐要健康  初中一年级 发表于 2025-11-30 20:01:47 来自手机 | 显示全部楼层 来自: 广东深圳
阳光~ 发表于 2025-11-30 14:17
看标题的第一反应就是局部进展局部处理,但是后面看完报告描述,肺部那些小寡病灶,不止一个局部进展,很可能多个小结节都在进展,所以局部放疗或者消融,弄不干净,考虑治疗这么久,没有进行过化疗,可以考虑贝伐➕培美曲赛➕铂进行两周期化疗,现在脑部稳定状态,可以休息靶向,看看化疗效果怎么样,不太建议继续等着耐药穿刺了,或者还有一个方案,是一三代联合基础上,加个贝伐或者加个培美曲赛单药试试看。

谢谢阳光老师建议!每次您的建议都很一针见血,太专业了,我们这个双肺转移瘤确实一直在增大,多发肺转移瘤9月底0.7*0.6cm→11月底1.1*0.9cm  (8月初是0.6*0.5cm,6月中是不足0.5cm)
,可能确实不太适合局部处理了。

举报 使用道具

回复 支持 反对
平安喜乐要健康  初中一年级 发表于 2025-11-30 20:05:52 来自手机 | 显示全部楼层 来自: 广东深圳
阳光~ 发表于 2025-11-30 14:17
看标题的第一反应就是局部进展局部处理,但是后面看完报告描述,肺部那些小寡病灶,不止一个局部进展,很可能多个小结节都在进展,所以局部放疗或者消融,弄不干净,考虑治疗这么久,没有进行过化疗,可以考虑贝伐➕培美曲赛➕铂进行两周期化疗,现在脑部稳定状态,可以休息靶向,看看化疗效果怎么样,不太建议继续等着耐药穿刺了,或者还有一个方案,是一三代联合基础上,加个贝伐或者加个培美曲赛单药试试看。

阳光老师,化疗贝伐➕培美➕铂,加贝伐的功效也是抗血管生成嘛?如果化疗期间休息靶向,会不会控制不住脑部啊

举报 使用道具

回复 支持 反对
阳光~  博士导师 发表于 2025-12-1 09:44:23 来自手机 | 显示全部楼层 来自: 湖南
平安喜乐要健康 发表于 2025-11-30 20:05
阳光老师,化疗贝伐➕培美➕铂,加贝伐的功效也是抗血管生成嘛?如果化疗期间休息靶向,会不会控制不住脑部啊

化疗有效的前提下,脑部大概率不会出问题,贝伐是助攻的帮助化疗药更好的分布到肿瘤内部,更好的发挥作用,培美其实也入点脑得,贝伐入脑更好,所以就看化疗效果了,很多没有靶点的病友们其实也有靠化疗维持不错的,不过确实存在风险,一旦化疗无效,脑部是有进展可能得,所以说没有完美的方案,如果靶向联合化疗,确实对病情来说更保险,但是副作用更多,也没让靶向药得到休息,就得好好平衡得失了,我家在培美化疗过程中没有任何脑部问题,也很多时候停靶向,但是在白紫化疗中大意停药发生脑转了,也是很后悔

举报 使用道具

回复 支持 反对
累计签到:3 天
连续签到:1 天
[LV.2]与爱新人
闯关3AN2  博士一年级 发表于 2025-12-1 10:19:01 来自手机 | 显示全部楼层 来自: 安徽滁州
3,已经耐药了,抓紧时间对进展的大的病灶活检做病理,基因检测,看看耐药机制。。。1,你这个所谓的局部进展是肺内的多发进展,不是属于寡进展,没必要做局部的治疗,没有价值。。。。2,可以切换到化疗,如果是第一次化疗,都是培美和铂的双药化疗,除非你病理发现病理类型转化小细胞。联合或者不联合贝伐,如果免疫高表达的,也可以联合贝伐免疫或者依沃西。。。。。。4,后面方案应该还有的。加油

举报 使用道具

回复 支持 反对
平安喜乐要健康  初中一年级 发表于 2025-12-1 19:33:56 来自手机 | 显示全部楼层 来自: 广东汕头
阳光~ 发表于 2025-12-01 09:44
化疗有效的前提下,脑部大概率不会出问题,贝伐是助攻的帮助化疗药更好的分布到肿瘤内部,更好的发挥作用,培美其实也入点脑得,贝伐入脑更好,所以就看化疗效果了,很多没有靶点的病友们其实也有靠化疗维持不错的,不过确实存在风险,一旦化疗无效,脑部是有进展可能得,所以说没有完美的方案,如果靶向联合化疗,确实对病情来说更保险,但是副作用更多,也没让靶向药得到休息,就得好好平衡得失了,我家在培美化疗过程中没有任何脑部问题,也很多时候停靶向,但是在白紫化疗中大意停药发生脑转了,也是很后悔

明白啦,没有完美的方案 副作用和疗效总是要取舍下。阳光老师~像我们这种一线奥西后面又使用一代三代联合,化疗时休息靶向,后面还有概率 三代靶向药复敏嘛

举报 使用道具

回复 支持 反对
平安喜乐要健康  初中一年级 发表于 2025-12-1 19:38:06 来自手机 | 显示全部楼层 来自: 广东汕头
闯关3AN2 发表于 2025-12-01 10:19
3,已经耐药了,抓紧时间对进展的大的病灶活检做病理,基因检测,看看耐药机制。。。1,你这个所谓的局部进展是肺内的多发进展,不是属于寡进展,没必要做局部的治疗,没有价值。。。。2,可以切换到化疗,如果是第一次化疗,都是培美和铂的双药化疗,除非你病理发现病理类型转化小细胞。联合或者不联合贝伐,如果免疫高表达的,也可以联合贝伐免疫或者依沃西。。。。。。4,后面方案应该还有的。加油

谢谢闯关老师,最后一句话给我很大的鼓励!确实是属于肺内多发进展了,标题有点歧义了

                               
登录/注册后可看大图

                               
登录/注册后可看大图
。我们确诊时23-4月基因检测PD-L1(22C3):CPS约5%,应该是免疫表达低,用不了依沃西。一般免疫表达是一开始就确定了不会变化的吗,还是二次基因检测也可能免疫表达会增加呢

举报 使用道具

回复 支持 反对

发表回复

您需要登录后才可以回帖 登录 | 立即注册

本版积分规则

  • 回复
  • 转播
  • 评分
  • 分享
帮助中心
网友中心
购买须知
支付方式
服务支持
资源下载
售后服务
定制流程
关于我们
关于我们
友情链接
联系我们
关注我们
官方微博
官方空间
微信公号
快速回复 返回顶部 返回列表